 李强 副教授 第二军医大学长海医院呼吸内科副主任医师 主要从事支气管哮喘、慢性阻塞性肺病及肺部肿瘤的临床研究,在介入治疗呼吸系统疾病及肺癌的综合治疗上有较高造诣。(左图)
白冲 副教授 第二军医大学长海医院呼吸内科副主任医师 擅长经纤维支气管镜介入诊断和治疗呼吸系统疾病,应用机械通气抢救危重病人和擅长肺源性心脏病的诊治。(右图)
观众朋友们,您们好!这里是中央电视台《健康之路》直播节目,今天我们来聊的是内镜诊治支气管结核方面的问题。
主持人:来看一位患了支气管结合病的女患者小陆的情况。患者:"开始的症状就是不停咳嗽,到当地医院就诊时医生说是支气管发炎,治疗也就是输液、打针、拿点药就回去了,这样坚持了一年多以后症状依旧,再去检查时医生说支气管炎已经发展到支气管哮喘了,经过一段时间的激素治疗后病情更严重了,最严重的时候晚上都起不来了,无法走路,胸痛很厉害,甚至不能说话。" 李强:结核病可以发生在人体的任何脏器,最常见的肺结核是指发生在肺部的结核,同样支气管结核是指发生在气管和支气管的结核病,与肺结核之间有着很多相关的联系,如图人体在正常呼吸的时候外界的结核杆菌可以通过呼吸进入到人体的气道,然后到达人体的肺部,这种情况我们就称之为肺结核,同样外界的结核杆菌也可以进入到支气管,寄生在支气管的部位,或者是已经在肺部的结核菌通过排放寄殖在气管或者支气管,这样就会形成支气管的病变,结核菌会往外排散。因此不论是肺结核还是支气管结核对周围人都有一定的感染性。当结核菌寄殖在支气管的时候支气管就会发生病变,由于结核菌的感染支气管可以出现狭窄,严重的时候可以出现支气管的完全阻塞。 白冲:患者所说咳嗽、咳痰、胸痛、呼吸困难等都是支气管结核的典型表现,除此以外还有发热、盗汗等表现。其中咳嗽通常表现为顽固性咳嗽,一般的止咳药是无效的,随着病情的发展会出现进行性的呼吸困难,影响到日常生活比如早起洗脸、刷牙等都会感到气喘,最终甚至躺在床上都会觉得气不够用,严重的会引起窒息。这种情况应该及时到医院进行诊断,看看是否存在支气管结核。
主持人:这种疾病很难确诊吗? 李强:支气管结核可以表现出很多症状如咳痰、咳嗽、痰中带血、胸闷、呼吸困难等,这些症状其它很多呼吸系统疾病都可能有,如支气管炎、支气管哮喘、支气管肿瘤等都可能出现上述症状。由于这种疾病没有一个特征性的症状,临床上很容易被漏诊、漏治。在此我们建议广大患者如果诊断为支气管炎或支气管哮喘经过治疗效果不好的情况下要及时进行胸部的X线检查,更重要的是还要进行支气管镜检查,这样就可以明确诊断。

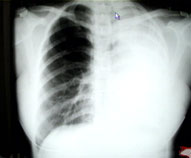
主持人:继续看这段采访。经过确诊女患者小陆已经是左肺全肺不张,这时医生建议她做手术切除左肺。 李强:患者刚到我院时情况确实很严重,从当时的X光片中可以看到患者的左肺已经是完全不张了,而且由于左肺的不张气管被严重的牵拉到左侧,另外从支气管镜片中可以看到整个左主支气管已经完全被结核病灶所闭塞了,因此病人稍微一活动就会觉得呼吸困难。最后完全堵住就会形成肺不张。
主持人:肺不张是一种什么情况? 李强:正常的肺部会有一些气体,由于支气管完全阻塞后肺部的气体完全被吸收了,肺也就丧失了呼吸的功能,所以病人就会感到呼吸的困难。
主持人:这种情况需要完全切除肺部吗? 白冲:支气管结核是结核病引起的感染,因此消灭结核杆菌是首当其冲的治疗方法,只有通过全身的抗结核治疗才能够完全治愈。但是在某些情况下需要考虑手术比如说严重的阻塞(有窒息的危险)、支气管阻塞后在远端的肺组织出现一些反复的炎症、抗结核无效、肺不张等,以上这些情况传统的就需要进行手术治疗,把这一段有病的支气管甚至于包括远端的肺组织全部切除掉。这种手术的缺点是手术切除范围太大、切除掉肺组织后会影响到肺功能和以后的生活质量。 李强:最近几年随着支气管腔内的介入技术的发展有了一些新的办法,这些办法包括支气管腔内各种介入治疗方法。
主持人:内镜治疗到底是如何进行的? 李强:如图通过支气管镜可以很容易看到病变部位,可以通过球囊扩张进行治疗,球囊通过支气管镜进入病变支气管,然后通过注水使球囊的压力增高,把狭窄的支气管扩开。另一个画面上显示的是一个病变的支气管,有很多疤痕的增生,特别是在支气管的下端已经形成了明显的狭窄,这时采用支气管内镜把球囊导入到病变部位的支气管,经过导管往球囊内注水后可以达到5-6个大气压,就可以把支气管扩开了。如图我们经过几次疏通后患者上叶的支气管已经疏通了,经过多次努力全肺的支气管都得到了疏通,最后再进行完球囊扩张和支架植入后患者的呼吸已经和正常人一样了。 白冲:内镜的诊断和治疗特点可以归纳为以下几点1、大大提高了支气管结核的诊断准确率。2、内镜下的诊断和治疗手段是非常丰富的,在各个时期都可以进行。3、比传统手术创伤小得多,尽大可能保证了病人的肺组织,大大提高了病人的生活质量。
主持人:经过球囊扩张后治疗就完成了吗? 李强:一般病人经过球囊扩张后如果气道可以维持一个开放的状态治疗也就结束了,但是如果这时还不能够维持一个正常的开放状态就需要进行支架植入。如图支架植入是通过支气管镜把导丝导入支气管,然后把支架送入到狭窄段进行释放,释放后支架就起到了一个支撑气道的作用,就可以永久维持气道的一个开放状态。
主持人:来看看患者术后的情况。患者:"术后感觉气道非常通畅,经常跑步和参加健美操锻炼都没有什么问题。"
主持人:我们平时有时候呛一口水都会觉得非常难受,为什么放入一个支架却没有任何感觉呢? 白冲:这是因为我们选择的支架的组织相融性非常好,在开始放入支架的时候病人可能有一些感觉,但是经过一段时间的适应后这种不适感会逐渐消失。来看一段录像,手术后一年零三个月我们给患者进行了支气管镜复查,可以看到气管非常通畅,支架已经被上皮和肉芽所包埋了,现在这个管腔非常好是通畅的。"
主持人:以后还需要进一步复查吗? 白冲:复查后如果没有明显症状以后就不需要再复查了。
主持人:所有得了之气管结核的病人都可以做支气管镜的介入治疗吗? 白冲:绝大多数是可以的。还是有一些禁忌症的如严重的心脏病、高血压没有得到控制、在检查和治疗过程中由于凝血功能差容易出血等做支气管镜介入治疗是比较危险的。
主持人:湖南刘先生 25岁 我妻子得支气管结核两年,我现在经常觉得乏力,晚上咳嗽,请问我该注意什么?如何预防传染? 李强:经常咳嗽建议到医院进行多次痰的结核杆菌检查,如果痰里还有结核杆菌说明还要进行抗结核治疗,如果有排菌,与周围的人应该隔离开,尽量选择住院治疗。
主持人:新疆李先生 30岁 我孩子出生时打了抗结核疫苗,现在两岁多,经常发烧,前几天因扁桃体发炎到医院检查,医生诊断为支气管结核,请问打了疫苗为什么还会得呢? 白冲:打疫苗不能够完全防止结核病的发生。打疫苗可以增加人体抵抗力同时可以预防一部分结核菌的侵入,但是如果进入的结核菌量很大或者机体本身的抵抗力很差还是有可能得结核的。孩子也应该进行全身抗结核治疗,只不过用的剂量比大人小,如果需要进行支气管镜治疗也是可以的。
主持人:四川王女士 62岁 我得支气管结核五年,病情反反复复,胸口憋闷,请问该怎么治疗? 李强:首先患者应该进行支气管镜的检查,了解结核所侵犯的气管和支气管的范围和程度,根据不同的范围和程度来选择对应的腔内的介入治疗手段。症状反复可能是因为治疗不规范,不持续、规范用药容易引起细菌的耐药性。另外还可能是因为支气管结核已经侵害到了气管和支气管,造成了一些不可逆的损害,单纯药物治疗是无法控制的。如果能够及时诊断和规则用药,完全可以通过药物控制住支气管结核。
主持人:山东孟女士 33岁 我患有肺结核合并支气管结核,目前正在服用抗结核药物,但是医生说要服用一年,我觉得时间太长,请问有没有什么方法可以代替抗结核药物治疗? 李强:任何结核病进行抗结核药物治疗是一个前题,其它方法包括手术、内镜治疗等都必须是建立在抗结核治疗的基础上的。结核病患者必需要坚持正规的抗结核药物治疗,其它方法是在药物治疗无效的情况下才考虑的。因此患者要有耐心,必须服用一年抗结核药物。
主持人:抗结核药物有副作用吗?对身体有什么影响? 白冲:抗结核药物是有副作用的。如损害肝脏、影响食欲、影响老年人的肾功能、及个别过敏现象等,因此服用药物一定要在医生指导下使用,一边调整一边使用。
主持人:四川赵女士 51岁 我患有支气管结核性气道狭窄,一个月前我在当地医院做了支架放置治疗,近来觉得呼吸比以前明显顺畅,请问今后应该注意什么? 李强:支架植入所选择的材料尽管有很好的相融性在植入的早期还是应该注意一些问题如有条件的患者可以做一下气道的雾化,帮助气道的分泌物可以及时排出,还有应该在植入的前半年应该每个月进行复查,了解支架和组织的相融情况。
主持人:门诊时间 李强 周三上午 白冲 周一下午;医院联系电话 (021)25074611
|